Deadly amoebic encephalitis and brain-eating amoebas in the crosshairs of Northeastern researchers

It sounds frightening: a brain-eating amoeba living in stagnant water and soil can cause a rare brain infection. And it’s almost always fatal.
But two Northeastern University researchers have this amoeba in their sights, receiving a National Institutes of Health grant to develop a treatment for amoebic encephalitis.
“We’re really looking to try and develop a new drug to treat this disease, one that’s been developed specifically for this infection, where there currently isn’t any,” says Lori Ferrins, associate professor of pharmaceutical sciences at Northeastern.
Ferrins is collaborating on the grant with Mary Jo Ondrechen, professor of chemistry and chemical biology at Northeastern.
“Our goal is to kill the amoeba,” Ferrins says.


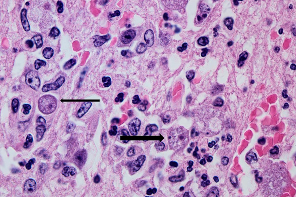
Amoebic encephalitis is a usually fatal brain infection caused by an amoeba that lives in warm, stagnant water and soil.
The amoeba enters the brain through an open wound or the nose, often when patients have jumped into or submerged themselves in water, infecting the brain and causing cysts to form.
The disease is very rare — Ferrins says there may be a “handful of cases every year” — although she notes that amoebic encephalitis is difficult to diagnose and there is no international mandate for reporting the infection.
But Ferrins describes the treatment options as “limited at best” — often consisting of a multi-drug cocktail with antibiotics and antifungal agents.
Moreover, there’s no clear benefit of any of these drugs against the amoeba itself, according to research from grant collaborator Professor Chris Rice of Purdue University.
That’s where the two-year grant from the NIH comes in.
“This is one of the great things about academic drug discovery,” Ondrechen says. “We can go after diseases that would not be of interest to pharma.”
The researchers will try to improve the potency and ability of compounds to kill the amoeba as well as assess them against the cysts, which are notoriously resistant to drug therapy.
The researchers are targeting a protein that is vital to the life cycle of the amoeba. Humans have a protein, a kinase, that is very similar but not identical. The researchers are exploiting the differences between the amoeba kinase and the human kinase to find molecules that will inhibit the amoeba protein but not harm the human.
The hope is that the compounds will be non toxic to human cells and potent for the amoeba, something that the Rice lab at Purdue will be testing.
“There are only a handful of labs globally that are doing research on these amoeba, and even fewer looking for new drugs,” Ferrins says. “This work represents a significant opportunity to improve the way that we treat these infections.





